Salute 6 Marzo 2023 15:47

Trichinosi, Andreoni (SIMIT): «La malattia si autoelimina. I casi gravi sono rari, rarissimi i decessi»

L’infettivologo a Sanità Informazione dopo i 5 pazienti positivi al parassita Trichinella nel foggiano: «I forti dolori muscolari sono il vero campanello d’allarme della Trichinosi. Per la diagnosi, verificare una marcata eosinofilia e valori elevati degli enzimi muscolari (Cpk). Il test sierologico conferma la presenza del parassita»
Trichinosi, Andreoni (SIMIT): «La malattia si autoelimina. I casi gravi sono rari, rarissimi i decessi»

Edema delle palpebre con rash cutaneo: è questo il segno caratteristico che ha contraddistinto i 5 pazienti positivi al parassita Trichinella nel foggiano. «Ma sono i forti dolori muscolari il vero campanello d’allarme della trichinosi», spiega a Sanità Informazione il professore Massimo Andreoni, direttore scientifico della SIMIT, la Società Italiana di Malattie Infettive e Tropicali.

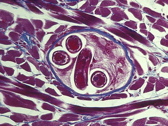
Professore, che cos’è la trichinosi?

«È una zoonosi. A causarla sono vermi cilindrici appartenenti al genere Trichinella. Il parassita presente nelle carni suine ed equine una volta ingerito si localizza a livello intestinale. Le larve oltrepassano la mucosa intestinale e migrano nei muscoli dove, poi, si incistano. Da questo momento, la loro capacità riproduttiva può rimanere attiva da uno a tre mesi»

Come avviene il contagio?

«La trichinosi non si trasmette da uomo ad uomo. Il contagio avviene esclusivamente per via alimentare consumando carni crude o poco cotte che contengono le larve del parassita. Le carni più a rischio sono quella suina, di maiale o cinghiale, ed equina»

Quanto dura l’incubazione?

«Di solito i primi sintomi si manifestano a distanza di una, al massimo, due settimane, dal consumo della carne contaminata. Nonostante ciò, è possibile che l’incubazione si prolunghi fino a 45 giorni, a seconda del numero di parassiti ingeriti. Più saranno i parassiti ingeriti e prima si manifesterà».

Quali sono i sintomi che si manifestano al termine dell’incubazione?

«Molti casi sono asintomatici o paucisintomatici. Anche laddove compaiano sintomi il quadro clinico è raramente grave e i decessi sono rarissimi. La diarrea è, di solito, il primo sintomo, seguito da dolori muscolari, edemi alle palpebre superiori, astenia, febbre e fotofobia».

Come viene effettuata la diagnosi?

«Con un esame del sangue è possibile riscontrare una presenza di marcata eosinofilia, con un aumento fino al 70%. Nei pazienti affetti da trichinosi crescono anche i valori degli enzimi muscolari (Cpk). La presenza del parassita potrà essere inequivocabilmente confermata da un test sierologico».

Esiste un trattamento specifico?

«Sì. Nei casi più gravi si ricorre all’uso di farmaci antielmintici. Di solito la malattia tende ad autolimitarsi senza la necessità di sottoporsi a trattamenti specifici. La gravità della patologia sarà correlata a due fattori fondamentali: il primo è la quantità di larve, il secondo è la fragilità dell’ospite. Bambini, anziani e pazienti immunodepressi sono i soggetti più a rischio di trichinosi, come di qualsiasi altra patologia infettiva e non».

 

Iscriviti alla Newsletter di Sanità Informazione per rimanere sempre aggiornato

 

GLI ARTICOLI PIU’ LETTI
Advocacy 2030

Dati clinici e “dati di esperienza”: così Novartis porta la voce dei pazienti dentro le decisioni

Dalle barriere organizzative al burden su caregiver: l’advocacy come leva per una valutazione più completa del valore e per percorsi di cura più equi. Chiara Gnocchi per Advocacy 2...
di Corrado De Rossi Re
Advocacy e Associazioni

Giornata Mondiale del Malato: “Il prendersi cura sia responsabilità condivisa”

Il messaggio di Papa Leone XIV per la XXXIV Giornata Mondiale del Malato richiama la parabola del Buon Samaritano come chiave per leggere la cura oggi. Un invito alla compassione che diventa responsab...
di Isabella Faggiano
Advocacy e Associazioni

Fibromialgia nei LEA, FIRA: “Un passo avanti, ma resta cruciale migliorare la diagnosi”

L’inserimento della fibromialgia nei LEA rappresenta un primo riconoscimento istituzionale per i pazienti, ma resta cruciale migliorare diagnosi, percorsi di cura e personalizzazione terapeutica
di I.F.
Pandemie

Long Covid e cervello: il ruolo dell’infezione nelle complicanze neurologiche e psicologiche

Una collaborazione tra il Centro di ricerca coordinata Aldo Ravelli dell’Università Statale di Milano e università internazionali come Yale, University of California e University o...
di Viviana Franzellitti